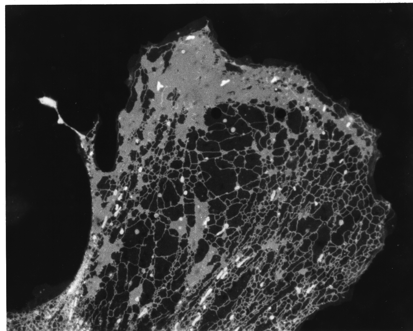
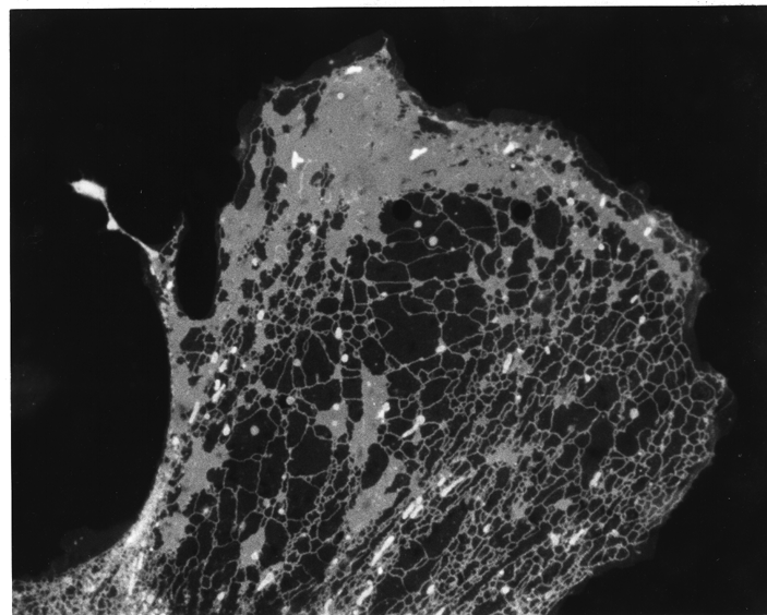
DiOC6(3) staining
DiOC6(3) staining of the ER

DiOC6(3) is a lipophilic dicarbocyanine dye that can pass through the plasma membrane. In fixed cells, it appears to stain all intracellular membranes. An example of staining of a 3T3 cell image(299K), or high resolution version of same image(1100K).